Dalak Damarinda 7 Santim Baloncuk Olusan 75 Yasindaki Hasta Sagligina Kavustu
Sirnak’ta, Kalp ve Damar Cerrahisi Uzmani Op. Dr. Volkan Burak Taban ve Genel Cerrahi Uzmani Op. Dr. Serhat Binici, dalak arterinde olusan 7 santimlik baloncugu yaptiklari riskli ameliyati basari ile tamamlayarak 75 yasindaki ve kronik birçok hastaligi olan Ayse Ertur’u sagligina kavusturdu.

Yapilan ameliyat ile ilgili gazetecilere açiklamalarda bulunan Op. Dr. Volkan Burak Taban, hastanin gastroenteroloji kliniginden kendilerine geldigini, dalak arterinde ciddi bir anerizma süphesinden bahsedildigini söyledi.
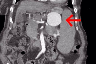
Degerlendirmeler sonrasi ilaç tetkikleri istediklerini belirten Dr. Taban, "Yapilan tomografide teyzemizde dalak arterinde oldukça genis dev diyebilecegimiz anerizmanin yani baloncuklasmanin oldugunu gördük. Normalde dalak anerizmasi diyebilmemiz için baloncuklasma diyebilmemiz için 20 milim yani 2 santimin üstüne çikmasi lazim. Ama gördügümüzde bizde sasirdik. Çünkü yaklasik 7 santimi geçen bir dalak anerizmasi vardi. Hastanin bu anerizmanin içerisinde tamamen kan doldugu için her an patlama riski vardi. Allah korusun hastanin hayatini kaybetme riski ile de karsi karsiyaydik. Hasta ile ilgili hemen multidisipliner olarak bir degerlendirme yaptik. Hem gastroenteroloji, hem genel cerrahiden Serhat hocamiz, hem radyoloji klinigimiz ile beraber degerlendirme yaptik. Hastamizin 15 yildir mücadele verdigi bir karaciger sirozu da bizim kararlarimizda etkili oldu” dedi.
“Hasta Sirnak’ta tedavi olmak istedi”
75 yasindaki hastanin Sirnak’ta ameliyat edilmesinin riskli oldugunu ve bu durumu hem hastaya hem de hasta yakinlarina söylediklerini aktaran Dr. Taban, "Hastamiz ve yakinlari yillardir hastanemizde tedavi olmak istediler. Bizde hastamiza açik cerrahinin ilk etapta riskli olabilecegini düsündük. Çünkü karaciger sirozuna bagli ve diger hastaliklara bagli olarak kan degerlerinde inanilmaz derecede bir bozukluk vardi ve cerrahi oldukça riskliydi. Biz öncelikle anjiyo yoluyla kasiktan girerek dalak anerizmasina ulasip, dalak anerizmasinin içerisini kapatmayi ve dalak damarina bir stent koyarak oradaki anerizmanin patlamasini engellemeyi çalistik. Anjiyomuz yaklasik 1,5-2 saat sürdü. Anjiyo salonuna aldik hastamizi, anjiyo sirasinda ne kadar ugrassak ta dalak damari o kadar genislemiski kendi etrafindaki damarlar ile beraber döndügü için dalak damarini bir türlü kateterize edemedik. Dalak damarinin içerisine ulassak da ardina ulasamadik. Yaptigimiz tekrar degerlendirmesinde hastamizin ameliyat edilmesinin daha dogru olacagini düsündük. Hastamizi açik cerrahi vakasina aldik. Açik cerrahi vakasinda genel cerrahi ile birlikte, önce karindan ufak bir keski ile girdik. Girdigimizde karsilastigimiz manzara aslinda tomografide gördügümüz manzaradan veya anjiyoda gördügümüz manzaradan daha da kötü haldeydi. Dalak damari anerizmasini onararak hastamizi ameliyattan çikardik. Ameliyat sonrasinda da hastamizin bir yogun bakim ihtiyaci olmadi. Servise aldik. Bundan sonraki degerlerimize baktigimizda da ciddi bir kan ihtiyaci olmadi. Daha sonraki kontrol kanlarimizda gayet iyi oldugu gözüküyor" dedi.
Annesini tedavi etmek için birçok yere götürdüklerini ancak olumlu herhangi bir sonuç alamadiklarini dile getiren Kamil Ertur, “Hocalarimiz çok iyi ameliyat geçirdiler. Allah’a çok sükür, ellerine saglik, onlara tesekkür ediyorum. Iyi ki Sirnak’ta böyle hocalarimiz var. Diyarbakir, Mardin, Batman, Adana’ya götürdük. Buralarda ’eger dalak sökülürse yataktan kalkmaz’ dediler. Allah’a çok sükür Volkan hoca ve Serhat hocamiz böyle basarili bir operasyon yaptilar" seklinde konustu.
