Dis Tedavisinde Hastanin Basina Geleni Duyanlar Sasti Kaldi

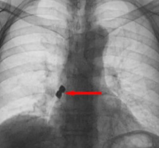
Afyonkarahisar’da 56 yasindaki bir kadin tedavi için gittigi dis kliniginde yanlislikla 2 adet implanti (dis kaplamasi) yuttu. Yuttugu disler akcigerine kaçarak sag nefes borusunu tikayan 56 yasindaki kadin ölümden döndü.

Dis Tedavisinde Hastanin Basina Geleni Duyanlar Sasti Kaldi
Olay Emirdag ilçesinde meydana geldi. Iddiaya göre, Belçika’nin Brüksel kentinde yasayan 56 yasindaki D.K., isimli gurbetçi vatandas implant dis tedavisi için Emirdag’daki bir klinige gitti. Operasyon esnasinda birbirine yapisik halde olan 2 adet implant bir anda hastanin disinden düstü. Implantlar ardindan hasta yutkununca akcigerlere kaçip sag nefes borusunu tikadi. Nefes almakta zorlanan D.K., ardindan Emirdag Devlet Hastanesi’ne kaldirildi. Burada yapilan müdahalenin ardindan D.K., Afyonkarahisar kent merkezindeki bir hastaneye sevk edildi. Burada D.K.’nin akcigerine kaçan implantlar cerrahi operasyona gerek kalmadan, bronkoskopi yöntemi adi verilen tibbi müdahale ile çikarildi. Implant yüzünden ölüm tehlikesi atlatan D.K., birkaç gün hastanede kaldiktan sonra taburcu edildi.
Kaynak: İHA