1 Lira Yüzünden Ölüyordu...Hayata Böyle Döndü
Bursa’nın İnegöl ilçesinde evinde oynarken yerde bulduğu madeni 1 lirayı yutan 9 aylık bebek ölümden döndü. Röntgen filminde bebeğin boğazındaki 1 lirayı farkeden doktorlar operasyonla parayı çıkardı. Evine dönen Mustafa ise her şeyden habersiz oyunlarına devam etti

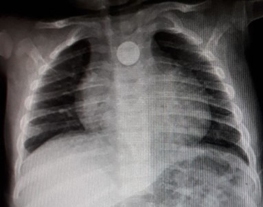
Bozuk para röntgen filminde ortaya çıktı
Yoğun bakıma alınan minik bebeğe önce film çekildi. 9 aylık Mustafa’nın boğazına takılan madeni para filmde ortaya çıkınca doktorlar tarafından operasyon yapıldı. Boğazındaki 1 lira çıkarılan minik bebek daha sonra rahat nefes almaya başladı.
1 gün hastanede müşahade altında tutulan küçük çocuk bugün taburcu edildi. Doktorların zamanında müdahalesiyle yeniden hayata dönen küçük çocuğu evinde yeniden oyuncaklarıyla oynamaya başlaması ev sakinlerini sevindirdi.
Mustafa’nın amcası Hüseyin Osman, "Yeğenim oyun oynarken yerde 1 lira görüyor ve yutmaya çalıştığı sırada boğazına takılı kalıyor. Bizde hemen hastane götürdük. Daha sonra bizi Bursa’ya gönderdiler. Çok şükür Bursa’daki hastanede operasyonla para çıkartıldı. Allah’a şükürler olsun ki yeğenimize bir şey olmadı" dedi.
