KALBİNE SAPLANAN KURŞUNLA YAŞADI
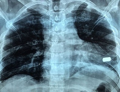
Bankaya çek tahsilatı yapmaya giden Hindistanlı Bharat Sharma silahlı saldırıya uğradı.

Sonunda 5 kişilik kardiyoloji ekibi Sharma'nın kalbine müdahale etti. 23 Eylül'de gerçekleşen operasyonda kalbin sol kapakçığına 1 milim saplanan kurşun çıkarıldı.Sharma sağlığına kavuşurken doktorlar kalbine kurşun saplanmasına rağmen hayatta kalan adamı yaşayan mucize olarak tanımladı.
