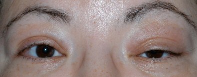
Göz Kapağı Düşüklüğüne Dikkat
Göz Hastalıkları Uzmanı Doç. Dr. Barış Yeniad, göz kapağı düşüklüğüne dikkat edilmesi gerektiğini belirterek, "Eğer göz kapağı göz bebeğini kapatacak kadar düşükse o gözde tembellik riski olduğundan ileride görme kayıplarına yol açabilir" uyarısından bulundu.

DOĞUŞTAN GÖZ KAPAĞI DÜŞÜKLÜKLERİ NEDEN OLUR?
Doğuştan göz kapağı düşüklüğünün göz kapaklarını yukarı kaldıran” levator palpebralis” olarak adlandırılan kasın yeteri kadar gelişmediği durumlarda ortaya çıktığını kaydeden Doç.Dr.Barış Yeniad, “Her 10 bin doğumda bir bebekte bu durum ortaya çıkabilmektedir. Doğuştan göz kapağı düşüklükleri sadece estetik bir durum değildir. Eğer göz kapağı göz bebeğini kapatacak kadar düşükse o gözde tembellik riski olduğundan ileride görme kayıplarına yol açabilir. Bu nedenle düşüklüğün acilen düzeltilmesi gerekmektedir. Tedavi mutlaka cerrahidir ve başka bir tedavi seçeneği bulunmamaktadır. Uygulanacak cerrahi tedavi ise göz kapağını yukarı kaldıran kasın kuvvetine göre seçilir” diye konuştu.
ERİŞKİNLERDE GÖZ KAPAĞI DÜŞÜKLÜĞÜ NEDEN OLUR ?
Doç.Dr.Barış Yeniad, erişkinlerde göz kapağı düşüklüğü en sık yıllar içinde göz kapağını kaldıran kasın zayıflamasına bağlı olarak geliştiğini ifade ederek “Bu durum özellikle ileri yaşta katarakt ameliyatı geçirmiş hastalarda daha sık görülmektedir . Bunun dışında travmalar, sinir felçleri veya göz kapağı yapısını bozan kitlelere bağlı olarak meydan gelebilir. Erikinlerde göz kapağı düşüklüğü sıklıkla kozmetik istenmeyen sonuçlara neden olur ve düzeltilmez ise zamanla artabilir” dedi.
GÖZ KAPAĞI DÜŞÜKLÜĞÜ NASIL TEDAVİ EDİLİR?
Göz kapağı düşüklüğünün tedavisinin cerrahi olduğunu anlatan Doç.Dr.Barış Yeniad, daha sonra şunları söyledi:
“Yapılacak cerrahi tedavi seçiminde muayenede uygulanacak tanı yöntemleri son derece önemlidir. Kapak düşüklüğünde yanlış tedavi uygulandığında yüz güldürücü sonuçlar alınamaz bu nedenle cerrahi tedavide tecrübe son derece önemlidir. Tanı yöntemleri arasında en önemlisi göz kapağını kaldıran kasın ne kadar çalıştığıdır. Eğer bu kas iyi çalışıyorsa ameliyat sonrası sonuçlar çok daha iyi olmaktadır. Temel olarak göz kapağı düşüklüğünde iki yöntem mevcuttur. Birinci yöntem göz kapağını kaldıran kas yeteri kadar çalışıyorsa bu kasın kuvvetlendirilerek daha iyi çalışır hale getirildiği levator cerrahisidir. Levator cerrahisi yaklaşık 15-20 dakika süren lokal anestezi altında uygulanan bir yöntemdir. Kapak yüksekliği ameliyat sırasında ayarlanır ve hasta ile kooperasyon son derece önemlidir. Eğer göz kapağını kaldıran kas çalışmıyorsa göz kapağı frontal askı dediğimiz yöntem ile alnımızdaki frontal kasa asılır. Askı yönteminde bacaktan alınan otojen fascia lata veya silikon gibi materyaller kullanılabilir. Frontal askı cerrahisi lokal veya genel anestezi altında yapılabilir. Çocuklarda ise her iki yöntem de genel anestezi altında yapılmalıdır. Hastaların bilmesi gerekn en önemli husus kapak düşüklüğünde uygulanan cerrahi sonrasında tekrar ayarlama yapmak gerekebilir. Her iki kapak arasında 1mm den az fark olması başarı kriteri olarak kabul edilir. Ameliyat sonrasında dikişler ise 1.haftada alınmaktadır.
Göz kapağı düşüklüğünde en önemli şeylerden biri göz kapağı yüksekliğinin ayarlanmasıdır. Kapak yüksekliği az veya çok ayarlanırsa istenen sonuç alınamaz. Yetersiz veya fazla düzeltmelerde tekrar ayarlama yapılmalıdır.Özellikle frontal askı cerrahisinde fazla düzeltmelerde göz kapağı yeterli esneklikte olmaz ve kapanmada problemler yaşanabilir. İyi kapanmayan göz kapakları nedeni ile saydam tabakamız korneada çok ciddi sonuçlar ortaya çıkabilir.”
