Mucize Bebeğin Ameliyatı Başarılı Geçti
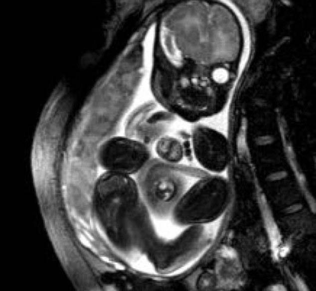
Sekiz milyonda bir meydana gelebilen bir hastalıkla doğan Audrina Cardenas bebek hayata tutundu.

Houston'da bulunan Texas Children 's Hospital'da geçirdiği başarılı ameliyatın ardından dünyaya yeniden gelen bebeğin sağlık durumu her geçen gün daha iyiye gidiyor.
MUCİZE BEBEĞİN KALBİ BÖYLE ATIYORDU - VİDEO


